Прыщи во рту на десне могут иметь самое разное происхождение. Необходимо быть особенно внимательными, если появляется припухлость с гнойным содержимым. Никакого самолечения быть не должно, иначе ситуация может стать крайне опасной для здоровья.
Вследствие определенных причин на деснахмогу появляться:
- жировики;
- гнойники;
- кисты;
- свищи на деснах;
- герпетическими высыпаниями.
Как может проявлять себя прыщ на десне?
При появлении любого из видов припухлостей наблюдаются характерные симптомы. Однако чтобы диагноз установить точно, важно как можно скорее пройти обследование.
Без осмотра у врача, больной может только предполагать, какая проблема появилась в ротовой полости и к чему нужно готовиться.
Прыщи проявляют себя по-разному. Доброкачественное образование, имеющее мягкую поверхность, является жировиком. Подобная липома образовывается из жировой ткани. В основном, никакого вреда от жировиков не бывает.
Но если они начинают меняться в размерах, окраске и форме, значит, пора идти к врачу. Трансформация припухлости обычно происходит в результате любых манипуляций, поэтому нежелательно пытаться самостоятельно избавиться от липомы.
Жировик может возникнуть один, но бывает одновременно несколько подобных образований.
Если на десне видны красные уплотнения, возможно, так заявляет о себе гнойный прыщ на десне, который постоянно прогрессирует. Появление данного образования сопровождается:
- болевым дискомфортом;
- ухудшением самочувствия;
- возрастанием температурных показателей.
Прыщ на десне над зубом зачастую превращается в гнойничок, из-за которого могут повреждаться соединения между ротовой полостью и мозгом.
Если лечение будет несвоевременным или неправильным, гнойное содержимое попадет в мозг, что самым неблагоприятным образом отобразится на здоровье.
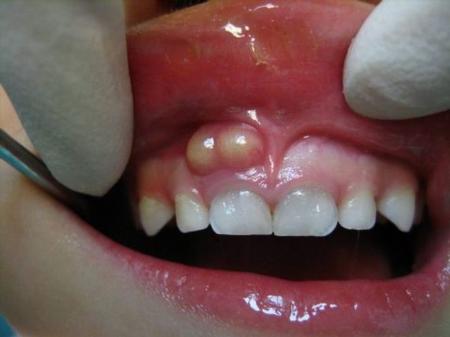
Киста – это процесс воспалительного характера, который в определенный момент прекратил прогрессировать. Другими словами, накопленный гной не вышел, а остался в десне. Образование представляет собой припухлость округлой формы, внутри которой содержатся некротические массы.
Изначально киста никаких неудобств не вызывает, но позже появится:
- боль;
- покраснение;
- мешочек красного или белого цвета.
Если капсулу вскрыть, гной вытечет, и образуется свищ. Худший вариант – проникновение гнойного содержимого вглубь пародонта. При этом самочувствие ухудшается резко, температура достигает 39 градусов, боль приобретает пульсирующий характер.
Важно! Если откладывать лечения, костная ткань челюсти может полностью разрушиться.
Небольшие пузырьки белого цвета – это герпетическое высыпание. Внутри новообразований находится мутная жидкость. Одновременно с пузырьковой сыпью может наблюдаться появление:
- желтого налета;
- мышечной боли;
- чувства немощности.
Важно! Как показывает медицинская практика, если за полостью рта ведется правильный уход, новообразований практически не бывает.
Основные причины появления
Обнаружить те или иные виды прыщей на десне (фото наглядно показывают разницу между ними) можно, как у взрослого человека, так и ребенка, причем даже у самого маленького.
Существуют причины возникновения припухлостей, которые являются наиболее распространенными.
У детей
Родители сильно переживают, когда появляются прыщи на десне у ребенка.
Чаще всего явление имеет прямое отношение к правилам гигиены десен. То есть она почти не соблюдается либо делается это некачественно. Также страдают десна от грязных рук и немытых овощей.
Свищи на десне не у ребенка может появиться из-за:
- прорезывания зубов;
- молочницы во рту;
- дисбактериоза;
- герпеса.
Часто белый прыщ на десне у грудничка становится результатом развития стоматита, который протекает на фоне кандидоза и пониженного иммунитета.
У взрослых
Причины прыщей на деснах у взрослых не менее разнообразны. Среди них можно выделить:
Когда кариес долго не лечится, инфекция может поражать корень зуба и десны. Благодаря образовавшемуся каналу — гнойные накопления выходят наружу.
Бывает такое, что врач не полностью заполнил канал пломбировочным материалом. Таким образом, происходит накопление жидкости, что приводит к нагноению и абсцессу.
Гнойник нередко образовывается, когда зубной канал повреждается неосторожными действиями дантиста.
Кроме того, прыщи на деснах под зубом возникают при наличии:
- прогрессирующей патологии внутренних органов;
- простудных недомоганий;
- глистной инвазии;
- аллергии.
Причины появления
Если на десне появился прыщ, прежде всего необходимо выяснить причину его образования. Только после этого врач сможет поставить точный диагноз и назначить необходимое лечение. Одной из причин может быть плохая гигиена полости рта или некачественное лечение зубов у стоматолога.
На десне прыщ часто появляется из-за воспалительного процесса корня зуба, могут возникнуть и осложнения после удаления. Ткань на деснах очень нежная и любое повреждение ее может вызвать воспалительный процесс, а затем свищ или флюс. Если вовремя не начать лечение, то это может привести к серьезным осложнениям и даже к потере зуба.
Прыщ на десне может появиться из-за простуды или заболевания внутренних органов. Если у взрослых воспалительные процессы часто протекают без явных симптомов, то у детей из-за образований на десне может подняться температура тела, гнойники при этом очень болезненные, а слизистая вокруг них может отекать. Причиной может быть также прорезывание зубов или молочница или герпес.
Часто гнойные новообразования появляются из-за больных зубов, если их вовремя не лечить. В таких случаях необходимо срочно проводить лечение, чтобы не потерять зуб. Микробы могут проникнуть в ротовую полость и из других органов, особенно если ослаблен иммунитет.
Виды образований на десне
Новообразования на десне могут быть разного размера и цвета, с наличием гноя или без него. Появившийся небольшой белый прыщ на десне не должен вызывать особого волнения.
Это доброкачественное образование или жировик, но следует обратиться за помощью к стоматологу, после тщательного обследования он назначит необходимое лечение. Иногда белый гнойничок может указывать на стоматит или герпес, которые требуют серьезного лечения.
А вот если обнаружился гнойный прыщ на десне, к стоматологу необходимо обратиться как можно скорее. Чтобы определить характер такой кисты, потребуется сделать рентгенограмму. Такой гнойник может появиться из-за инфекции ротовой полости или как следствие простуды тканей зуба.
Маленький красный прыщ на десне указывает на начальную стадию гнойного воспалительного процесса. Такое образование необходимо лечить на начальной стадии, чтобы не спровоцировать развитие гнойника и его разрастания. Чем быстрее обратиться за помощью к специалисту, тем быстрее можно избавиться от такой проблемы.
Причины возникновения прыща
Белый прыщ на десне может появляться как у взрослых, так и у детей грудного возраста. Медицинская практика показывает, что при правильном гигиеническом уходе за полостью рта такие новообразования возникают довольно редко. Можно выделить некоторые наиболее распространенные причины, которые могут спровоцировать появление белого прыща на десне?
Какие же еще причины могут вызывать появление уплотнений на деснах у взрослых?
- прогрессирование в организме человека патологий внутренних органов;
- различные простудные заболевания;
- присутствие глистов в организме человека;
- аллергические реакции.
Нередко на десне такой прыщик появляется у маленьких детей, и происходит это по следующим причинам:
- процесс прорезывания зубов;
- молочница в ротовой полости;
- дисбактериоз;
- герпес.
Часто белые прыщики на десне у детей грудного возраста становится признаком такой патологии, как стоматит. Он может протекать на фоне кандидоза и снижения защитных функций детского организма.
В такой ситуации врачом назначается эффективное лечение, которое имеет существенные отличия от терапии взрослых.
Образовавшиеся во время прорезывания зубов прыщи у детей обычно не доставляют какого-либо беспокойства и быстро исчезают.
Разновидности образований
Образующиеся в полости рта прыщи могут быть различного происхождения, поэтому их подразделяют на несколько видов. Для постановки точного диагноза необходимо посетить специалиста, но знание определенных симптомов патологии позволяет предположить возникшую у пациента проблему.
На десне может появляться жировик, который представляет собой образование доброкачественного характера с мягкой поверхностью. Такая липома возникает из жировой ткани и плотно прилегает к десне. Обычно жировики не опасны для организма человека до того момента, пока они не начинает расти.
На самом деле, любые манипуляции с таким видом прыща способны вызвать его трансформацию, то есть он начинает активно расти, изменять свою окраску, форму и внешний вид. Именно по этой причине не нужно пытаться самостоятельно избавиться от жировика, а обязательно обращаться к специалисту.
В полости рта на десне может появляться как один жировик, так и сразу несколько.
Образование на десне белых пузырьков небольшого размера часто становится признаком герпеса. Такие новообразования представляют собой прыщи, внутри которых находится мутная жидкость. Такая пузырьковая сыпь может сопровождаться появлением таких симптомов, как желтый налет, боль в мышцах и слабость.
Появление на десне прыща красного цвета является признаком воспалительного процесса, прогрессирующего в десне. Такое уплотнение вызывает появление у пациента болевых ощущений, ухудшение его самочувствия и подъем температуры тела.
Обычно конечным результатом такого воспалительного процесса становится формирование гнойничка на десне. Следует помнить о том, что гнойник может спровоцировать повреждение соединения, установленного между мозгом и ротовой полостью.
При отсутствии эффективного лечения результатом воспалительного процесса становится переход гнойного экссудата в мозг, что чревато серьезными осложнениями. В такой ситуации врачи не всегда могут оказать помощь, поэтому не стоит заниматься самолечением, а при появлении гнойника на десне обращаться за помощью к специалистам.
Киста представляет собой воспалительный процесс, который остановился на определенной стадии своего развития. Это означает, что в определенный момент гной не смог выйти наружу и скопился в тканях десны.
Причины появления гнойного прыща на десне могут быть различными и часто такое образование не вызывает появления характерной симптоматики. Такое новообразование не может исчезнуть самостоятельно либо просто рассосаться, поэтому требует эффективного лечения.
При отсутствии необходимой терапии возможно полное разрушение костной ткани челюсти.
Особенности лечения образования
Выбор того или иного методы лечения зависит от вида прыща, выявленного на десне у пациента. В том случае, если в полости рта образовался жировик, то это требует постоянного наблюдения у врача.
Нередко такие доброкачественные новообразования исчезают через некоторое время без проведения специального лечения.
В том случае, если жировик начинает активно видоизменяться и расти, то прибегают к проведению операции по его удалению.
При диагностировании герпеса лечение проводится с помощью следующих средств:
- мази противовирусного действия;
- антисептические растворы для полоскания ротовой полости;
- препараты, оказывающие подавляющее действие на вирус в организме человека.
Кроме этого, лечение герпеса предполагает проведение обработки полости рта специальными препаратами, способствующими удалению омертвевших клеток. При назначении правильного и эффективного лечения избавиться от герпеса в полости рта удается за несколько дней.
В том случае, если образовался гнойный прыщик на десне у взрослого, то его лечение проводится с помощью антибактериальных препаратов и противовоспалительных препаратов.
Кроме этого, проводимая терапия дополняется полосканием рта антисептическими растворами и проведением физиотерапевтических процедур.
В тяжелых случаях проводится операция, в ходе которой вскрывается полость гнойника и удаляется его содержимое.
При выявлении белого прыщика на десне у взрослого для лечения применяются средства обезболивающего, антисептического и противовоспалительного действия. Кроме этого, в зависимости от вида возбудителя зубной врач подбирается противогрибковые и противовирусные препараты, мази, гели и масла для ускорения процесса заживления слизистой.
Особую сложность представляет лечение кисты, образовавшейся на десне. Для устранения неприятной симптоматики воспалительного процесса и выведения наружу скопившегося гноя выполняется разрез десны. После этого выбор метода дальнейшего лечения определяется причиной, спровоцировавшей ее образование.
В том случае, если киста появилась после удаления зуба, то проводится очищение лунки, проверка полости на наличие осколков, дренирование раны и обработка ее антисептическими препаратами.
При появлении кисты по причине плохо проведенной чистки корневых каналов, то проводится ее удаление с помощью лазера, после чего выполняется повторная пломбировка каналов.
Наибольшую опасность представляет киста в запущенной форме, поскольку повышается опасность развития следующих осложнений:
- потеря зуба;
- развитие гайморита;
- поражение внутренних органов.
Прыщ на десне нельзя назвать безобидным образованием, как это может показаться на первый взгляд. При появлении такого уплотнения следует обязательно посетить специалиста, который проведет тщательное обследование и при необходимости подберет эффективную терапию. Самолечение может спровоцировать резкое обострение патологии, что приводит к трагическим последствиям.
zubi.pro
Причины появления
Если на десне появился прыщ, прежде всего необходимо выяснить причину его образования. Только после этого врач сможет поставить точный диагноз и назначить необходимое лечение. Одной из причин может быть плохая гигиена полости рта или некачественное лечение зубов у стоматолога.
На десне прыщ часто появляется из-за воспалительного процесса корня зуба, могут возникнуть и осложнения после удаления. Ткань на деснах очень нежная и любое повреждение ее может вызвать воспалительный процесс, а затем свищ или флюс. Если вовремя не начать лечение, то это может привести к серьезным осложнениям и даже к потере зуба.
Прыщ на десне может появиться из-за простуды или заболевания внутренних органов. Если у взрослых воспалительные процессы часто протекают без явных симптомов, то у детей из-за образований на десне может подняться температура тела, гнойники при этом очень болезненные, а слизистая вокруг них может отекать. Причиной может быть также прорезывание зубов или молочница или герпес.
Часто гнойные новообразования появляются из-за больных зубов, если их вовремя не лечить. В таких случаях необходимо срочно проводить лечение, чтобы не потерять зуб. Микробы могут проникнуть в ротовую полость и из других органов, особенно если ослаблен иммунитет.
Прыщик во рту на десне у ребенка
Прыщ на десне – довольно неприятное явление, указывающее на то или иное заболевание ротовой полости.
- Обычно воспаление на десне сопровождается неприятными ощущениями и болью.
- Но иногда такое образование абсолютно безболезненно и не вызывает дискомфорта.
Причины появления
Причины появления на десне воспаления в виде прыща различны.
- недостаточное соблюдение гигиены ротовой полости;
- некачественно проведенное лечение зубов;
- воспаление корня зуба;
- осложнение удаления зуба;
- механическое повреждение слизистой ротовой полости;
- простуда;
- аллергия;
- болезни внутренних органов.
У взрослого
Ткань десен достаточно чувствительная и нежная, и ее малейшее повреждение может привести к воспалению, развитию флюса, свища, абсцесса и прочим стоматологическим проблемам.
А последствием несвоевременного лечения может стать не только утрата зуба, но и другие опасные осложнения.
Если прыщ на десне у взрослого очень маленький, при этом зуб запломбирован и не болит, возможно, воспалилась верхушка корня зуба.
Воспалительный процесс обычно протекает без явных симптомов, что затрудняет своевременную диагностику.
У ребенка
К наиболее частым причинам белых образований на десне у грудничка относятся:
- прорезывание зубов;
- молочница;
- дисбактериоз;
- герпес.
Появление образования на десне у новорожденного и грудного младенца может сопровождаться сильной болезненностью, отеком слизистых, повышением температуры.
В такой ситуации не стоит заниматься самолечением, лучше сразу обратиться за квалифицированной помощью к стоматологу.
- Причиной прыща на десне у ребенка могут стать грязные руки, употребление плохо вымытых овощей и фруктов. В последнем случае могут появиться не только высыпания во рту, но и проблемы с работой пищеварительной системы.
- Иногда прыщ во рту малыша является жировиком, который обычно проходит самостоятельно по мере взросления. Тем не менее, при наличии жировика маленький пациент должен наблюдаться у доктора.
Прыщик на десне у ребенка: причины, способы и особенности лечения
Слизистая ротовой полости ребенка очень нежна и чувствительна к любым внешним раздражителям. Если появился прыщик на десне у ребенка, то необходимо отнестись к этой проблеме со всей серьезностью, так как иммунитет ребенка только устанавливается и требует большого внимания к себе.
Прыщик может служить обычным проявлениям жировика или аллергии. Это проблемы легко решаемого характера.
Но если мама ребенка не имеет опыта в этом деле, то закрывать глаза на проблему не стоит, потому что прыщиком может быть и опасный свищ или гнойник у корня зуба. Такая патология требует особого внимания, а особенно если заболел грудничок.
Только доктор сможет определить истинную причину появления прыщика на десне у грудничка и назначить адекватное лечение, которое принесет результат.
Причины могут быть самыми различными, если знать симптомы проявления, то можно определить вид прыщика самостоятельно. Чтобы это было сделать проще, стоит ознакомиться со следующей информацией о видах прыщей на десне у младенца.
Жировик
Жировик – самый часто встречающийся вид прыща у детей. Он не представляет угрозы для ребенка и часто проходит сам собой. Родителям же стоит обратить внимание на то, не увеличивается ли жировик в размерах.
Если вы заметили, что он деформируется и приобретает большую форму, то необходимо срочно обратиться за помощью к специалисту. Обратите внимание, что выдавливать жировики в ротовой полости ребенка категорически запрещено. Таким образом вы можете только навредить здоровью малыша.
Белые выпуклости на деснах
Если у новорожденного на десне прыщик (белый), это может быть проявлением герпеса или стоматита. Подобную проблему не может решить знание одних только родителей, поэтому необходимо срочно обратиться к доктору.
Появление белых пупырышек может быть проблемой, связанной с:
- переохлаждением;
- перенесенным ОРВИ;
- занесенной инфекцией в ротовую полость.
Чаще всего эти проблемы появляются и после лечения практически у каждого человека. Вреда здоровью они не приносят, и иммунитет остается нетронутым.
Красные прыщи на деснах
Появление красных прыщей означает, что скоро на их месте появится гнойник. К такого рода прыщам необходимо относиться с еще большей внимательностью, так как, скорее всего, внутри них находится гной.
Если гной самостоятельно не выходит, то это может привести к образованию кисты. Это образование может вырастать от 2 мм до 3 см и приносить немалый дискомфорт в ротовой полости.
Киста – доброкачественная опухоль, которая появляется в результате воспаления. Причиной ее возникновения может быть:
- Плохая гигиена полости рта.
- Запущенный кариес, пародонтит или пульпит.
- Недочеты работы стоматолога или пломбы в зубах плохого качества.
- Травмы ротовой полости, дефекты вырастающего зуба.
- Прорезывание зуба мудрости и связанные с ним воспаления.
- Перенесенный гайморит или другая инфекция, которая привела к ослаблению иммунитета.
Заранее пугаться не следует, так как ее удаление у специалистов не составляет труда и здоровью ребенка ничего угрожать не может. Важно не затягивать с лечением такого рода прыщей, чтобы не было обострений.
Гнойный прыщик
Появление гнойного прыщика на десне у ребенка не должно оставаться без внимания. Внутри него находится определенное количество гноя, которое необходимо бережным способом вывести, пока не начались опасные процессы.
Начинать лечение необходимо, даже если прыщ не вызывает беспокойства. Для того чтобы гной не пошел в ткани, нужно сразу идти к специалисту. В таких случаях врачи назначают лечение антибиотиками и полоскание полости рта.
Самим покупать антибиотики не стоит, врач должен сам подобрать лечение малышу индивидуально.
Прыщи вокруг рта
Если прыщей вокруг рта много, то это может быть проявлением таких болезней, как:
- Корь.
- Герпес.
- Периоральный дерматит.
Также причиной возникновения большого количества мелких прыщей может послужить аллергическая реакция или реакция на продукты или косметику.
В случае аллергии необходимо придерживаться определенной диеты и не употреблять продукты, которые вызывают такую реакцию. Лечить подобного рода проблему может только специалист.
В случае если прыщ один в уголке рта, то опасаться не стоит, возможно, это просто воспаление сальной железы по причине ее загрязнения.
Прыщи на небе
Если ребенок жалуется, что ему больно при глотании, или на щеке, десне или небе появились болезненные прыщи, стоит сразу же обратиться к специалисту для решения проблемы. Обычно такие прыщи сопровождаются покраснением, припухлостью во рту. В некоторых случаях даже отмечается повышенная температура тела. Причины могут быть различного характера:
- повреждение слизистой оболочки (болезнь, повреждение пищей, укол, царапина др.);
- проникновение инфекции;
- аллергическая реакция;
- проблемы с иммунитетом.
Небольшая царапина во рту или укол может привести к серьезной травме или занесенному вирусу не только у ребенка, но и у взрослого. При появлении такой проблемы необходимо срочно обратится в клинику за лечением. Существует еще несколько видов прыщей в ротовой полости у детей:
- бактериальный стоматит;
- герпетический стоматит;
- грибковый стоматит.
Бактериальный стоматит
При бактериальном стоматите возбудителем могут быть не одна, а несколько причин или инфекций. Это может быть стрептококк или стафилококк. Причиной возникновения чаще всего служит перенесенная болезнь или ангина.
У ребенка очень много сил уходит на восстановление, и во рту может появиться прыщ под языком или мелкие прыщи на щеках. Их количество может быть абсолютно разным, а вреда они не приносят.
Проходят такие прыщики сами собой и особого плана лечения не требуют.
Герпетический стоматит
Герпетический стоматит появляется у маленьких детей и подростков. Эта болезнь проявляется как маленькие прыщики на губе или под губой. Они небольшого размера, заполненные прозрачной жидкостью внутри.
Они очень быстро лопаются и не приносят болевых ощущений, а на их месте остаются небольшие ямки, которые со временем сходят.
При герпетическом стоматите важно следить за состоянием лимфоузлов, чтобы они не были увеличены.
Грибковый стоматит
Возбудителем такого вида болезни является самый настоящий грибок. Он присутствует в организме каждого человека в нормальном количестве, но при бесконтрольном размножении этого грибка у ребенка появляется грибковый стоматит. У взрослых женщин именно этот грибок вызывает развитие молочницы.
Во всех примерах его лечением необходимо заниматься обязательно при помощи специалиста. Появление болезни начинается с появления покраснений в ротовой полости и с образования в ней налета в виде белой творожной массы.
Лечение
Лечение необходимо начинать незамедлительно, чтобы грибок не попал в кишечник. Не рекомендуется самостоятельно назначать лечение антибиотиками по рекомендации друзей или соседки.
Антибиотик может разрушительным образом воздействовать на микрофлору организма, не позволяя восстанавливаться иммунитету.
При этом сам грибок может привыкнуть к действию препарата, и такое самолечение может оказаться неэффективным.
Особенно уязвимыми к грибку кандида являются новорожденные дети. Симптомы проявления у них те же, что и у детей старшего возраста. Педиатры назначают в таком случае протирать полость рта малыша содовым раствором и прописывают особые противогрибковые лекарства. Мелкие прыщики, покрытые белым налетом, в ротовой полости при ненадлежащем уходе могут привести к таким болезням, как:
- красная волчанка;
- ветряная оспа;
- скарлатина;
- эпидпаротит;
- коклюш или корь.
Инкубационный период каждой болезни – 3 дня. За это время у ребенка может отмечаться:
- повышение температуры;
- появление трещин на губах;
- мелкие прыщики в ротовой полости;
- першение в горле;
- увеличение лимфоузлов;
- повышение чувствительности передних зубов и десен.
Такие заболевания чаще всего носят инфекционный характер, а прыщики на десне у ребенка – единичный симптом, при появлении которого необходимо срочно бежать к врачу.
Самолечение не имеет никакого смысла, так как самостоятельно вылечить подобного рода болезнь неквалифицированный человек не сможет.
Лечение назначает детский врач-инфекционист, который прописывает антибиотики, противовоспалительные и жаропонижающие препараты.
Как предотвратить появление прыщиков на десне у ребенка?
Для того чтобы у ребенка не возникало проблем с полостью рта, важно пересмотреть взгляд на его ритм жизни, питание, качество продуктов, которые он ест, личную гигиену. В пище должно присутствовать достаточное количество витаминов и минералов.
Помимо чистки зубов, можно полоскать ротовую полость раствором из соды с водой или с ромашкой. Это способствует устранению микробов из ротовой полости. К тому же ромашка бережно ухаживает за состоянием не только десен, но и зубов.
Также можно прибегать к помощи гелей для полоскания, которые продаются в аптеках без рецептов для взрослых и детей. Регулярно необходимо посещать стоматолога, чтобы вовремя предотвратить возникшую проблему.
Если у ребенка зубы только прорезываются, то необходимо посещать врача еще чаще, так как этот период является одним из главных, когда устанавливается рост зубов и их целостность.
Прыщ на десне – что это, над зубом, белый, гнойный, у ребенка, грудничка, взрослого, фото
Появление белых прыщиков на десне — одно из весьма частых явлений в стоматологии, которое может быть диагностировано и у взрослого, и у ребенка. Обычно оно не вызывает у пациентов беспокойства.
И напрасно — ведь именно такая деталь нередко сигнализирует о более серьезных заболеваниях. К счастью, подобные проблемы сегодня очень просто решаются.
Пациенту необходимо только знать, когда обращаться к специалисту, и что можно предпринять, чтобы подобных проблем не возникало.
Почему на десне появляются белые прыщики
Белый прыщ на деснах – образование, характерное для целого ряда болезней. Гнойный очаг прыща может иметь различную величину, нередко такие образования болезненны. Со временем такой прыщ склонен менять свои размеры и даже цвет — новообразование нередко напухает, краснеет, переходит в нарыв, если человек вовремя не начинает лечение.
Среди подобных высыпаний во рту встречаются явления различного типа. Среди них:
- жировик;
- стоматит;
- гнойное воспаление;
- герпес;
- киста.
Формирование белого прыща на десне у ребенка и взрослого бывает спровоцировано различными факторами, среди которых:
- простуда;
- стоматит или грибковое заболевание десны;
- нарушение требований по гигиене;
- аллергия;
- попадание на слизистую инфекции;
- механические повреждения.
Нередко белый прыщик является симптомом более серьезного недуга. Именно потому при обнаружении подобного гнойника необходимо обратиться в срочном порядке к врачу и получить квалифицированную помощь. До посещения специалиста рекомендуется применять полоскания настоем ромашки и ни в коем случае не предпринимать попыток вскрыть новообразование самостоятельно.
Диагностика и лечение прыщиков на десне
Стоматолог при обращении пациентов с жалобами на появление гнойного воспаления во рту назначит ряд исследований для установки характера заболевания, а также определения методов его эффективного лечения. Пациенту в таком случае нужно пройти диагностику, включающую:
По окончанию обследования врач назначит адекватную терапию, которая будет зависеть от характера заболевания. Если у больного диагностировали стоматит или жировик, ему предпишут курс полосканий и антибиотик общего действия.
При наличии проявлений молочницы назначают противогрибковую терапию. Для лечения герпеса или других вирусных инфекций будут назначены препараты противовирусные.
При обнаружении кисты или свища, может быть назначено хирургическое удаление новообразования, поскольку такие гнойники не рассасываются самостоятельно.
Профилактика
Появление прыща на десне ребенка и взрослого можно предупредить, и сделать это не так уж сложно. Стоматологи для этой цели рекомендуют придерживаться таких правил:
- кушать только хорошо мытые продукты, отдавать предпочтение еде, прошедшей термическую обработку;
- посещать стоматолога регулярно, лечить любые заболевания рта без отложений;
- придерживаться общих рекомендаций по гигиене рта, включающих чистку зубов и полоскание после каждого приема пищи;
- употреблять больше продуктов, содержащих необходимые для правильного развития десен витамины и минералы.
В целом белый прыщ на деснах — проблема, которую можно устранить достаточно легко. Самое главное здесь — не полагаться в лечении на народные методы и не ждать, пока болезнь самоустранится. Практика показывает, что своевременное обращение к врачу гарантирует пациенту быстрое устранение недуга и предупреждение его рецидива.
Прыщ на десне у взрослого и ребенка — причины и виды
Прыщи на десне, как и любое другое образование в ротовой полости доставляет своему обладателю массу неудобств. Важно в случае их возникновения незамедлительно обратится к специалисту, выявить характер и причины их возникновения и начать лечение, так как безобидное, на первый взгляд, проявление может приводить к серьезным осложнениям.
Виды прыщей на десне
Прыщи на десне могут иметь различный вид, основными видами образований в ротовой полости являются:
- гнойники;
- жировики;
- кистообразные образования;
- свищи;
- герпес;
- стоматит.
Гнойники
Наиболее опасным проявлением является гнойный прыщ на десне. Причиной возникновения практически всегда является воспалительный процесс в ротовой полости. В случае если появился прыщ на десне над зубом вероятны сопутствующие симптомы: ухудшение общего состояния здоровья, слабость, головная боль, повышенная температура тела.
Основными факторами, провоцирующими возникновение проблемы, являются:
Затягивать с лечением и ожидать пока гной выйдет сам не стоит, так как возможно попадание гноя в кровь. При возникновении гнойника во рту следует незамедлительно обратиться к стоматологу, который подберет адекватные методы лечения, удалит гной и порекомендует лекарственные средства, снимающие воспалительный процесс.
Жировики
Образование доброкачественной природы, возникшее в результате чрезмерного скопления жировой ткани, называется жировик. Никакой опасности оно не несет, однако, при каких-либо дополнительных симптомах: боли, изменении прыща в размере, следует обратиться к врачу.
В редких случаях жировики исчезают самостоятельно, в ином случае его удаление возможно только хирургическим путем.
Киста
Кистообразные образования – воспалительный процесс в ротовой полости. Киста представляет собой шишкообразное образование, наполненное гноем. Характерные симптомы: боль пульсирующего характера, образование гнойного мешочка, покраснение десны, значительное повышение температуры.
Если попытаться вскрыть образование содержимое выйдет и на десне образуется свищ. Делать этого самостоятельно ни в коем случае не стоит!
Следует помнить! Если запустить лечение костная ткань может разрушиться.
Герпес
Белый прыщик на десне, наполненный прозрачной мутноватой жидкостью, имеет, как правило, вирусный характер. Их возникновение сопровождается общим ухудшением состояния здоровья: ломотой в суставах, появлением мышечной боли и желтого налета на слизистых рта. Плохое самочувствие – предшествует возникновению прыщиков.
Также можно обратиться к методам народной медицины.
Стоматит
Белый прыщ на десне имеет шарообразную форму и небольшой размер. Чаще всего язвочки образуются группками. При прикосновении к месту поражения, присутствуют болевые ощущения. Заболевание может возникнуть из-за повреждения десен, прогрессирования болезней хронического характера, авитаминозе.
Любое высыпание из вышеперечисленных требует врачебного обследования и скорейшего лечения.
Причины возникновения прыщей в ротовой полости
Причины возникновения образования в ротовой полости могут иметь самый различный характер как у детей, так и у взрослых.
К основным можно отнести: несоблюдение гигиены рта, непрофессиональное и некачественное лечение зубов, воспаление корневой зоны, осложнения при удалении зубной ткани, механическое повреждение, снижение иммунитета, заболевание внутренних органов.
Чувствительная ткань десен требует особого бережного ухода, так как любое повреждение способно привести к воспалительным процессам.
Также читайте: Причины возникновения прыщей в области неба
У детей
Прыщики на десне у ребенка, как правило, возникают по причине несоблюдения гигиены полости рта. Не всегда удается отследить действия ребенка и увидеть, какой предмет он потащит в рот, также возможно попадание инфекции через плохо вымытые овощи и фрукты.
У малышей можно выделить причины образования прыщей следующего характера:
- прорезывание молочных зубов;
- молочница;
- дисбактериоз;
- герпесные высыпания.
Белые прыщики на десне у грудничка и как следствие белые десна могут возникнуть: после кормления, при образовании налета, при авитаминозе, при стоматите.
В случае появления жировика паниковать не стоит, это единственное безобидное новообразование. Однако наблюдаться у специалиста следует в любом случае. Белые прыщики на десне у ребенка, вероятнее всего, говорят о появление герпеса, что в запущенных стадиях грозит развитием осложнений.
Обратите внимание: Мнение Комаровского о проявлениях акне у новорожденных
У взрослых
Прыщики на десне у взрослого возникают в основном при некачественном лечении зубной ткани:
Также причинами может стать:
- поражение внутренних органов;
- простудные и другие инфекционные заболевания;
- глисты;
- аллергические высыпания.
Профилактика
Предупредить высыпания на десне достаточно просто.
Для этого следует:
- тщательно соблюдать гигиену рта, следить за гигиеной рта своих детей;
- употреблять продукты, богатые витаминами;
- мыть овощи и фрукты перед употреблением;
- продукты перед употреблением подвергать термической обработке;
- при малейшем дискомфорте в ротовой полости посещать дантиста.
Состояние вашего здоровья в ваших руках. Не запускайте заболевания ротовой полости, своевременно обращайтесь к специалисту и тогда, такие проявления, как воспаления десен и различного рода образования на них обойдут вас стороной.
Как лечить белые прыщи на десне у детей и взрослых
Особого внимания и ухода требуют не только зубы, но и десна, так как они чувствительны и ярко реагируют на повреждения.
Даже самые незначительные ранки могут привести к различным стоматологическим заболеваниям, таким как флюс, свищ, абсцесс.
Многие люди, столкнувшиеся с этой проблемой, не обращаются к стоматологу вовремя. Если выскочил прыщик на десне, то не нужно заниматься самолечением.
Причины
Существует множество причин, из-за которых появляется у взрослых и у детей белый прыщик. Но в основном главный провоцирующий фактор, это плохая гигиена ротовой полости. К распространенным причинам относятся:
В некоторых случаях белый прыщик на десне свидетельствует о наличии различных заболеваниях. Для выявления точной причины, от которой напрямую зависит дальнейшее лечение, следует обратиться к зубному врачу.
Прыщ во рту на десне: разновидности
Заметив на десне белый прыщ или же другие патологии, к примеру, уплотнение, припухлость, то следует немедленно отправиться на прием к врачу.
Бывает, что подобные высыпания не вызывают болевых ощущений или же какого-то дискомфорта, что является главной причиной игнорирования некоторых людей. Белый прыщ на десне может говорит о наличии вирусной инфекции в ротовой полости.
Если не обращать внимание на данную проблему, то она может перерасти в заболевание – пародонтоз.
Прыщи на десне над зубом разделяются на несколько видов:
Жировик
Подобный гнойный прыщ на десне считается доброкачественным образованием. Если размер жировика является статичным, то особой угрозы он не представляет.
При изменении размера, внешнего вида и формы жировика, нужно немедленно идти к стоматологу. Если изменения его размеров не зафиксированы, то в большинстве случаев прыщ во рту на десне пропадает сам.
Категорически запрещено выдавливание и другие манипуляции. Наличие болезненных ощущений может свидетельствовать об образовании кисты.
Киста
Киста представляет собой гнойник большого размера, который должен был выйти наружу, но остался внутри десны. Рентгеновское обследование, при наличии кисты, назначают как взрослым, так и детям. Чаще всего данное образование является следствием простудных или инфекционных заболеваний тканей зуба. Лечить ее следует быстро, дабы избежать обострений.
герпес, стоматит
Белый прыщик на десне у взрослого или ребенка может свидетельствовать о таких заболеваниях как герпес либо стоматит. Ни в коем случае нельзя затягивать с визитом к врачу. Доктор выпишет аптечные мази, различные препараты, которые будут подавлять возбудители образования, находящиеся в организме человека. Рекомендуется проводить частые полоскания.
Воспаление
Если выскочил красный прыщ на десне у ребенка или взрослого, то требуется незамедлительное лечение. Наличие такого образования свидетельствует о наличии гнойного воспаления. Тепло является ускорителем гнойного процесса, поэтому греть больное место запрещено.
Лечится данное заболевание с помощью антибиотиков и полоскания антисептическим раствором. При запущенном случае потребуется вмешательство хирурга, который вскроет гнойник.
Отсутствие признаков воспаления объясняется тем, что с помощью прыщика гной из зубного корня выходит наружу. Однако при таком случае лечение тоже необходимо. Стоматолог произведет вскрытие нарыва и уберет гной. Благодаря этой процедуре открытая острая форма воспаления вам не грозит.
Лечение заболевания
Существует множество методов народного избавления от белых и красных прыщей на десне, но только профессиональный врач может справиться с этой проблемой качественно. Не стоит рисковать своим здоровьем и заниматься устранением проблемы в домашних условиях. При первых проявлениях незамедлительно отправляйтесь на прием к врачу.
Большинство стоматологов не исключают лечение народными методами, а наоборот применяют их как дополнение к основному. Только опытный дантист может подробно проинформировать больного, дать ему действенные и правильные способы лечения.
Для того чтоб не применять лечение, нужно заботиться о здоровье своих десен.
У ребенка гнойный прыщ на десне
Воспаление и нарыв может происходить практически в любом месте на теле человека, так что если прыщ вскочил в ротовой полости, то удивляться этому особо не стоит.
Такое действительно случается с разными людьми. Небольшая припухлость зачастую даже не причиняет никаких неудобств, но если во рту созревает крупный прыщ с гноем, то человек уже начинает проявлять беспокойство.
Впрочем, вам не стоит игнорировать такое новообразование.
Гнойник или прыщик в ротовой полости где-нибудь над зубом иногда является предвестником заболевания дёсен.
Возможные проблемы в дальнейшем:
- болезненные ощущения во время приёма пищи и обычного разговора;
- общая интоксикация организма;
- развитие заболевания дёсен;
- стоматологические проблемы и т.д.
В этой связи появление прыщика в таком необычном месте и на чувствительном участке кожи является сигналом, на который обязательно следует реагировать.
Белый прыщ на десне у взрослого
Если красный прыщик вскочил в ротовой полости, то лучшим решением будет проконсультироваться с врачом. Это хороший повод посетить стоматолога и получить полноценную консультацию. Врач проводит осмотр и определяет причину появления такого новообразования у взрослых и детей. Особенно это касается периода после имплантации.
Прыщи во рту обычно связаны с проявлением и развитием определённой патологии:
- жировые уплотнения (жировики);
- гнойные или обычные воспаления из-за повреждения и травмы;
- доброкачественные кисты;
- герпес или проявление иного заболевания.
Белый прыщ – это чаще всего жировки или доброкачественная опухоль, не несущая опасности для человека. Иногда врач рекомендует даже дождаться естественного рассасывания.
Откуда белые прыщи на десне у ребёнка?
Если у грудничка или у ребёнка постарше вылез прыщ гнойный и белый, то это говорит о занесении инфекции или повреждении слизистой оболочки. Проблема достаточно распространённая, поэтому следует предпринимать быстрые и эффективные меры.
В то же время, организм малыша ещё не до конца развит, поэтому у него нередко возникают различные кожные образования.
Болезненный прыщ на десне – как лечить его быстро и эффективно?
Стоматологи рекомендуют реагировать на такую проблему, не оставляя её без внимания. Они устанавливают точные причины и рассказывают, что делать. Для избавления от воспаления и гнойных болячек подходят следующие меры:
- правильная гигиена полости рта и регулярная чистка зубов и языка;
- полоскание специальными отварами;
- применение средств для ротовой полости с антисептическими свойствами.
Распространённым средством для гигиены является хвойный отвар. Он помогает уменьшить воспалительные процессы и предотвращает нагноение. Однако перед этим обязательно следует победить инфекцию, если причина заключается в ней.
Не пытайтесь самостоятельно вскрывать прыщ в ротовой полости.
У стоматолога пациенты получают квалифицированное лечение:
- общее обследование ротовой полости;
- рентген;
- назначение общего лечения или хирургическое вмешательство.
Для удаления кисты быстро проводиться небольшая операция. В остальных случаях применяются препараты с антибиотиками и отвары трав для простых прыщиков.
Большое внимание следует уделить профилактике, особенно в детском возрасте. Систематическая борьба с инфекциями позволит существенно укрепить зубы и предотвратить их выпадение.
Также эффективное лечение избавляет от болезненных ощущений.
Красные образования впоследствии превращаются в нагноения, поэтому на ранней стадии следует полоскать специальными отварами и использовать рекомендованные врачом средства.
Почему появляется прыщ на десне
Ротовая полость является одной из самых чувствительных частей лица. Поэтому, любая проявившиеся в ней инфекция стремительно распространяется. Десна чувствительны к любому повреждению.
Ведь белый прыщ на десне может оказаться обычным жировиком, который особой опасности не представляет, а может быть симптомом таких заболеваний как стоматит, герпес, свищ, киста. Приведенные заболевания нельзя охарактеризовать как безобидные. При неподобающем или несвоевременном лечении, они могут вызвать серьезные осложнения.
Белый прыщ на десне
Неподобающее лечение, как правило, связанно с тем, что многие люди сами ставят себе диагноз, на основании догадок. И более того, некоторые без излишней боязни начинают курс лечения. Этот факт может крайне негативно отразиться на здоровье человека потому, что каждая болезнь требует отдельного лечения, а дозировку препаратов правильно может назначить только врач.
Стоматит
Стоматит – это стоматологическое заболевание, которое вызывает воспалительный процесс. Как правило, появляется на фоне пониженного иммунитета или инфекции.
Провоцирует высыпания на слизистых оболочках ротовой полости, а также на губах и деснах в виде небольших прыщиков белого цвета, иногда наблюдается и гнойный прыщ на десне.
В некоторых случаях распространение инфекции сопровождается повышением температуры тела.
Причинами возникновения стоматита могут быть:
- аллергическая реакция;
- небольшая ранка в полости рта, в которой образовалась инфекция;
- несбалансированное питание;
- недостаточная гигиена ротовой полости;
- стресс;
- гормональный сбой;
- обезвоживание организма;
- пониженный иммунитет;
- гормональный сбой;
- курение.
Герпес
Герпес – это вирусная инфекция, которая может проявиться на теле в ротовой полости и на половых органах. Герпетический вирус присутствует в организме практически у каждого взрослого человека, однако проявляется только при некоторых условиях.
Во всех случаях сопровождается высыпанием в виде небольших прыщей, которые вызывают болезненные ощущения и зуд.
Причинами проявления герпеса являются:
- снижение иммунитета;
- недостаточная гигиена;
- стресс;
- ремиссия после онкологических заболеваний;
- использование посуды, из которой до этого пил или ел человек, у которого вирус герпеса находится в активном состоянии.
Стоит отметить, что герпес заразен, он передается: половым путем, при контакте с прыщиками и с жидкостью, которой они наполнены, через слюну. Герпетическая инфекция не проходит сама собой и требует соответствующего лечения.
Киста
Киста представляет собой образование на десне, заполненное гноем, у самого основания зуба, может иметь разные размеры. Возникнуть может как у взрослого, так и у ребенка.
- хронические заболевания носоглотки;
- пониженный иммунитет;
- воспалительный процесс, связанный с прогрессирующим парадонтитом;
- травма челюсти;
- некачественное пломбирование зубов;
- кариес или пульпит в запущенной форме.
Свищ на десне
Свищ на десне – это гнойное заболевание, которое сопровождается воспалительным процессом. Свищ является каналом, который соединяет очаг воспаления с наружной поверхностью.
Сопровождается гнойным прыщом на десне у самого основания зуба, появления которого связанно с внутренним нагноением.
Причинами появления свища на десне могут быть:
- неподобающее лечение кариеса и пульпита;
- киста;
- прорезывание зуба мудрости;
- некачественное пломбирование зуба;
- сложные молочные зубы.
При появлении свища на десне необходимым считается обратиться за помощью к врачу. Специалист назначит лечение, которое поспособствует ликвидации очага инфекции. Далее гной перестанет прибывать и область, пораженная свищем затянется.
Прыщик на десне у ребенка
Дети, особенно в возрасте до одного года, находятся в самой уязвимой части населения. Детский организм наиболее склонен к распространению инфекции, так как антитела ко многим вирусам у них еще отсутствуют.
Белый прыщик на десне у ребенка может быть симптомом различный заболеваний, а так же свидетельствовать о начале воспалительного процесса в организме.
Выделяется несколько, наиболее распространенных причин, появления этого симптома:
- Различного происхождения травмы десен, которые спровоцировали воспалительную реакцию. Известно, что дети с третьего месяца жизни активно начинают познавать мир. Это становятся причиной того, что у них часто появляются различные предметы во рту. Ребенок не в состоянии понять, что он может нанести травмы деснам обсасыванием некоторых предметов. Нередко именно предметы, которые ребенок «тянет» в рот и становятся причиной повреждения десны.
Гигиена полости рта
Существует некоторое количество гигиенических норм, а также правил, соблюдая которые, человек может обезопасить себя и своих детей от различных инфекций.
- Настоятельно рекомендуется уделить особое внимание, касающееся гигиены полости рта. Зубы рекомендовано чистить два раза в день: во время утренних банных процедур и вечером перед сном. Зубную щетку следует выбирать правильно, для детских молочных зубов рекомендована щетка с более мягкой щетиной, а для взрослых, наоборот подойдет более твердая щетина. Зубную щетку необходимо заменять один раз в три месяца, так как на ней с каждой чисткой остаются бактерии, которые впоследствии накапливаются и могут поспособствовать распространению инфекции в ротовой полости.
Правильная гигиена полости рта защищает от различных инфекций и заболеваний
Белый прыщ на десне может быть симптомом различных стоматологических заболеваний и в случае его обнаружения необходимо как можно скорее обратиться за консультацией к врачу.
При соблюдении гигиенических норм в полной мере риск проявления болезней снижается до минимума.
Вся информация представлена в ознакомительных целях, перед лечением проконсультируйтесь у своего врача.
Что делать, если появился прыщ на десне
Прыщ на десне – довольно неприятное явление, указывающее на то или иное заболевание ротовой полости.
- Обычно воспаление на десне сопровождается неприятными ощущениями и болью.
- Но иногда такое образование абсолютно безболезненно и не вызывает дискомфорта.
Если меры по его лечению не предпринимаются, банальное воспаление может привести к неожиданным и тяжелым последствиям.
Причины появления
- недостаточное соблюдение гигиены ротовой полости;
- некачественно проведенное лечение зубов;
- воспаление корня зуба;
- осложнение удаления зуба;
- механическое повреждение слизистой ротовой полости;
- простуда;
- аллергия;
- болезни внутренних органов.
У взрослого
Ткань десен достаточно чувствительная и нежная, и ее малейшее повреждение может привести к воспалению, развитию флюса, свища, абсцесса и прочим стоматологическим проблемам.
А последствием несвоевременного лечения может стать не только утрата зуба, но и другие опасные осложнения.
Если прыщ на десне у взрослого очень маленький, при этом зуб запломбирован и не болит, возможно, воспалилась верхушка корня зуба.
Воспалительный процесс обычно протекает без явных симптомов, что затрудняет своевременную диагностику.








